甲状腺周围分布着众多淋巴结,这些淋巴结如同身体的 “防御卫士”,时刻监视着甲状腺的健康状况。正常情况下,甲状腺和淋巴结各司其职,和谐共处。

一旦甲状腺发生病变,比如出现甲状腺癌时,癌细胞可能首先侵犯周围淋巴结,部分情况下病情会更复杂,治疗难度更大。那么,如何早期识别淋巴结转移的信号呢?
定期体检关注超声提示
一、良性淋巴结特征
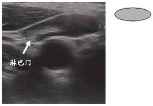
①正常淋巴结
正常淋巴结多呈椭圆形,长径通常<1cm,内部呈均匀低回声,可见清晰的淋巴门结构,即淋巴结中央的高回声区域,是血管、神经出入的通道,类似淋巴结的‘核心’。

②反应性增生淋巴结(炎症/ 感染所致)
因局部炎症或感染,淋巴结可呈梭形或椭圆形肿大,长径可达1.5-2cm,但仍保持良性形态:淋巴门结构完整,回声均匀;血流从中央淋巴门向周边分支;无钙化、囊性变等可疑征象,属于良性肿大的淋巴结。

二、可疑淋巴结特征
当淋巴结出现以下一项或多项特征时,需高度警惕癌细胞转移可能!
①微钙化(特异性最高)
多见于甲状腺乳头状癌转移淋巴结,表现为散在或簇状点状强回声(直径<2mm),后方无声影,对应病理上的砂砾体,乳头状癌转移风险>90%!

②囊性化(乳头状癌转移特征)
良性淋巴结多为实性,若有甲状腺乳头状癌病史,实性淋巴结内出现无回声区(囊性病变),转移几率>80%!

③高回声或不均匀回声
良性淋巴结通常呈现均匀的低回声,当甲癌细胞涌入淋巴结后,淋巴结的回声不再均匀,图示淋巴结中可以看到高回声区域,70%-90% 的高回声淋巴结最终确诊转移。

④周边异常血流分布
正常淋巴结血流多位于淋巴门区(中央型血流),转移淋巴结常表现为周边型血流或混合血流,周边型血流提示转移风险约75%-85%!

⑤边缘不规则
淋巴结纵横比≥1,边缘模糊,成角或毛刺状,提示肿瘤突破淋巴结被膜侵犯周围组织。

注意:超声报告提示淋巴结有上述5种可疑恶性特征时,建议携带报告至甲状腺专科医院进一步评估!
重视身体给出的直接信号
1.颈部肿块或结节(最常见)
当甲状腺癌细胞转移到颈部淋巴结时,颈部可能出现质地较硬、表面不光滑的肿块或结节,移动性较甲状腺原发灶差,需结合超声检查判断。
2.进行性声音嘶哑(喉返神经受压)
转移淋巴结侵犯或压迫喉返神经时,可导致进行性声音嘶哑(持续加重且不易缓解),若排除咽喉疾病,需警惕甲状腺癌淋巴结转移。
3.吞咽/呼吸困难(晚期表现)
转移淋巴结较大时可能压迫气管或食管,导致颈部压迫感、紧迫感,严重时还会影响呼吸和吞咽。

超声发现可疑淋巴结时,建议进一步行超声引导下细针穿刺活检(FNA)明确性质,避免过度焦虑或延误诊断。早期转移经规范治疗,预后良好。