近日,河南省胸科医院胸外科九病区成功为一名53岁右侧结核性毁损肺合并主动脉瘤的高危患者实施右全肺切除手术。
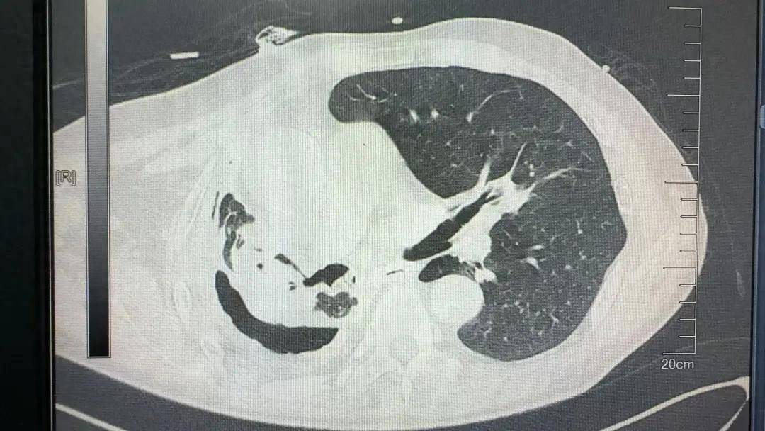
持续的咳嗽、7个月的胸闷。患者老段的右肺结核菌实变毁损,已丧失功能,形成的支气管胸膜瘘和不断产生的胸腔积液,致使他携带胸管1个多月了还无法拔除。
辗转多地求医无果。
前不久,老段打听到了河南省胸科医院胸外科九病区副主任杜佳辉在结核性毁损肺治疗方面经验丰富,这又让他重新燃起了治愈的新希望。


入院后,经术前全面检查发现,老段还有一处致命问题,就像一颗“不定时炸弹”随时可能被引爆。
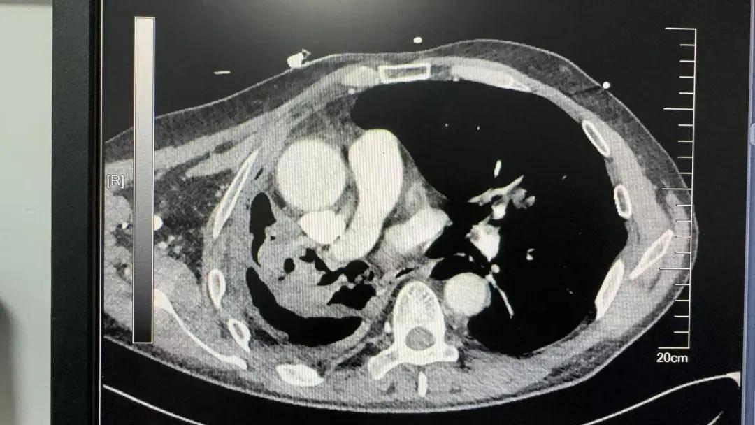
患者的冠状动脉重度狭窄,主动脉根部膨出一直径约5.7厘米的动脉瘤,主动脉瓣大量反流,一旦发生主动脉瘤破裂就会危及生命,这种情况同样需要手术治疗。

经胸外科、心血管外科、重症医学科、麻醉科多学科会诊,专家团共同为患者制定出一套"先行右全肺切除、择期心血管外科手术"的序贯治疗方案。

右全肺切除术由杜佳辉主刀。
术中探查发现,患者胸腔封闭、广泛黏连、胸膜增厚,右肺因感染完全实变毁损,肺血管、支气管等解剖结构严重扭曲,手术难度大大增加。
由于患者胸膜广泛黏连增厚,手术游离过程中很容易出现大出血,谨慎操作的同时还需避免牵拉刺激心脏而导致的血压波动、循环不稳定。麻醉团队密切监测血压变化,控制血压波动。
手术团队运用超声刀精细操作,将手术出血量控制在500毫升,历时3.5小时的手术终于顺利完成。胸腔内结核病灶彻底清除,为下一步心血管手术扫清了障碍,创造安全条件。

此次手术的成功,不仅标志着河南省胸科医院胸外科在合并心血管疾病患者治疗领域迈出了关键一步,更充分彰显了在复杂病例综合救治中的深厚实力——通过精准统筹感染控制、手术安全与心血管保护三大核心环节,实现了多维度治疗目标的有机统一,为同类合并心血管疾病的复杂病例提供了可借鉴、可复制的诊疗范本。
目前,患者老段已顺利出院,后续将根据病情择期接受心血管外科手术,将体内潜藏的“定时炸弹”彻底拆除。(于海峰 于炎术)