没有什么能束缚人类幼崽了
学习时苦思冥想无果
提醒了一下:换个角度看问题

换角度不是换姿势!
好不容易学完习
想放松娱乐一下

这柔韧度奖励一个芭蕾班
站没站相
坐没坐样
小小“树苗”
就是在不知不觉中“歪了”

“小树苗”歪了,会怎样?
脊柱侧弯可不是简单的“站没站相”。它会让孩子的肩膀一高一低,像背着个隐形的斜挎包;后背可能鼓起一个“小鼓包”;腰线也会不对称。时间久了,不仅影响孩子身姿,还可能带来腰背酸痛,甚至影响胸膛里心脏和肺脏的“工作空间”。

抓住“黄金时间”:早治疗!
对付脊柱侧弯,越早发现,治疗就越简单、越有效!家长们可以和孩子玩个有趣的“弯腰小游戏”:
1. 预备:让孩子双脚并拢站直,膝盖打直。
2. 弯腰:让孩子像要去摸脚趾一样,慢慢向前弯腰。
3. 观察:从后面和前面仔细看看孩子的背部。左右两边一样高吗?有没有一边特别鼓起来?

如果发现两边不一样高,或者有“小鼓包”,别犹豫,可以带孩子来我院经开院区骨科,让专家们用专业的眼光看一看!
怎么治疗?
支具治疗:对于还在生长发育、侧弯程度中等的孩子,我们会量身定制专业支具。它会在孩子长身体的过程中悄悄引导脊柱往正确的方向生长。
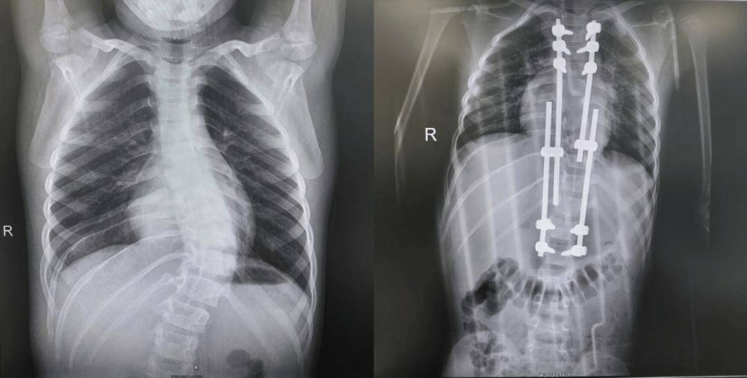
矫形手术:如果侧弯比较严重,或者支具效果有限,医生会运用最先进的器械和内固定系统,安全、精准地矫正弯曲的脊柱,并守护脊髓的安全。
多学科协作: 从首次发现侧弯苗头,到定制支具、实施手术,再到术后康复训练,我院骨科与影像科、康复科、麻醉科等多学科专家紧密配合,为每个孩子量身打造最合适的“扶正”方案,全程呵护,确保最佳效果。

△先天性脊柱侧弯畸形(半椎体畸形)术前术后

△神经纤维瘤病合并脊柱侧弯
如何守护孩子的脊柱?
定期“查岗”:经常用“弯腰小游戏”检查孩子的背部,尤其是快速长高的青春期。
书包别太重:给孩子的书包减减负,别让过重的书包成了压弯小树苗的“坏风”。

坐姿要端正:提醒孩子学习时坐如钟,避免歪七扭八。
动起来更健康:游泳、跑步等运动能让脊柱周围的“小卫士”(肌肉)更强壮,更好地保护脊柱。

如果发现孩子有驼背、高低肩、骨盆前倾、蝴蝶骨(翼状肩胛)的迹象,请及时到西安市儿童医院骨科(经开院区)就诊!
本期封面

张磊
经开院区骨科/烧伤整形科
主治医师
从事临床工作十余年,主持省级课题及院级课题各1项,,擅长儿童脊柱侧弯保守与手术治疗,儿童肌性斜颈微创手术治疗,常见脊柱及四肢骨折手术治疗,儿童多指(趾)手术治疗,以及儿童扁平足,马蹄足,髋关节脱位等儿童骨科疾病的外科治疗。
汪玲
经开院区骨科/烧伤整形科
住院医师
从事临床工作5年,主持市级课题1项,擅长多指(趾)、并指(趾)、腱鞘炎、腱鞘囊肿的手术治疗,以及儿童扁平足、滑膜炎、颈椎半脱位、四肢肢体畸形等儿童外科常见疾病的治疗。
文字:经开院区骨科/烧伤整形科病区 张磊 汪玲
排版:宣传科 阎一宁| 审核:宣传科 杨馥羽