现代人身上常常蕴藏着祖先的历史印记,特别是在中国,这种传承尤为深刻和显著。许多中国人自豪地宣称自己是炎黄子孙,沐浴在拥有五千年辉煌文明历史的中华大地上,感受着深厚的文化底蕴。然而,这种自豪感并非每个中
深夜刷到这条的你,是不是又失眠了?眼睛累得发酸,脑子却清醒得像刚重启。别急,这可能是你晚饭“吃错”了。 在内蒙古赤峰,乡村医生齐艳龙的诊所里,常遇到被“睡不好”困扰的城乡患者。齐艳龙医生坚持中医“辨
【保胃健康】传承中医药文化,普及脾胃病防治与养生知识,解答民众健康疑惑,助力健康生活。 常言道,一年之计在于春,春天是四季之首,春暖花开的季节也是进补的极佳时节。和秋冬进补有所不同,在乍暖还寒的春天
2月7日13:14,中国羽毛球队队员、第14届全运会羽毛球男双冠军王昶发布微博宣布与乒乓球名将钱天一领证结婚:“这个求婚戒指,我选了很久,代表我的一颗真心只给你!往后余生,爱和幸运都将流向你!” 钱天
近年来,甲状腺疾病患病率持续攀升,甲亢、甲减、甲状腺结节等病症困扰着千万人,不少患者面对手术切除的建议时,难免心生畏惧与犹豫。而中医世家传人贾永忠主任,凭借家族百年传承的医术与四十载临床积淀,秉持不手
对于大多数糖尿病患者而言,餐后血糖的控制目标是小于10.0mmol/L,最好是小于7.8mmol/L。 如果你的餐后2小时血糖不达标,可以试试以下8个方法。 1.餐前血糖达标是前提 餐前血糖的高低,能
文/绵竹市人民医院 杨万双 高血压,这一现代社会中普遍存在的慢性疾病,不仅影响个体的生活质量,更是心血管疾病的重要风险因素。在众多影响血压的因素中,饮食习惯扮演着至关重要的角色。本文将从盐与高钠食物、
肝脏是人体非常重要的器官,承担着代谢、解毒、储存营养和合成蛋白质等多重功能。当肝脏出现问题时,整个身体的健康状况也会受到影响。 无论是由于长期酗酒、病毒感染还是饮食不当,肝脏的健康问题都可能慢慢侵蚀身
钛媒体App 2月7日消息,特斯拉副总裁陶琳日前在北京举行的媒体交流会上表示,2026年,特斯拉计划在中国市场加大AI软硬件和能源领域投入。特斯拉已在华布局本地训练中心,用于其智能辅助驾驶的本土化调优
随着春风解冻,大地回绿,我们的身体也从冬季的“收藏”模式,切换到春季的“生长”频道。这个关键的换季期,既是调理身体的黄金窗口,也是健康隐患的潜伏阶段,尤其对中老年人更是如此。您是否发现,入春后反而更容
光荣的军人身份,一直是许多人心中难以磨灭的梦想。无论是青少年时代,还是步入社会后,许多人都怀揣着成为军人的渴望,期待着穿上那身象征着责任与荣誉的军装。然而,在我国,由于征兵的压力相对较小,能够成为一名
随着年龄的增长,尤其是进入63到68岁这一关键时期,许多人会开始感到身体的变化。虽然这个阶段往往还没有出现严重的疾病,但身体机能逐渐衰退的迹象却越来越明显。 此时,脏腑功能、血管弹性、免疫能力等都在悄
2026年央视春晚主持人阵容一经官宣,热搜榜瞬间被新老面孔的讨论刷屏。任鲁豫、撒贝宁的稳场,龙洋、马凡舒的续任,新人刘心悦的亮相,成了网友们热议的焦点。仿佛这个新阵容代表着新时代的风向标,然而,有一个
超过三分之一的癌症本可避免! 国际癌症研究机构(IARC)与世界卫生组织(WHO)首次将全球可预防的癌症负担量化。对涵盖185个国家、36种癌症类型的研究分析显示,2022年全球近40%的新增癌症病例
铜元素是人体必需的微量元素,也是黑色素合成过程中关键酶的重要组成部分,对白癜风患者而言,体内铜元素缺乏会直接影响黑色素合成,加重病情,因此科学补充铜元素,对辅助病情恢复至关重要,很多患者忽视铜元素摄入
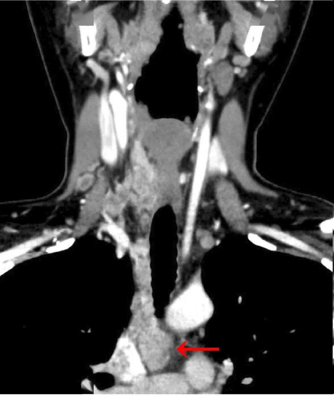
“朝阳医院给了我第二次生命!”术后已能下地活动的范女士(化名),对北京朝阳医院普外中心甲状腺颈部外科及多学科团队满心感激。38岁的她,曾因复杂凶险的甲状腺癌走到生死关头,而北京朝阳医院的医者凭借精湛技
2月4日,迎来二十四节气中的第一个节气:立春。此时人体机能、新陈代谢较为活跃,是一年中养生的好时机。立春做好这几件事,为一整年的健康打下好基础。 咬一口,春天就来了 立春养阳,多吃它 立春这天,民间有
肺部疾病,尤其是肺癌,已经成为全球范围内致死率较高的疾病之一。通常,我们会认为肺部疾病的症状以咳嗽为主,但实际上,肺部问题的早期征兆并不一定是咳嗽。 许多人在肺部发生病变时,往往忽视了一些细微的症状,
来源:财联社 《科创板日报》2月7日讯Anthropic一款AI法务工具,给了全球软件股“一记闷棍”。 从美股、港股到日股,软件公司股价在恐慌下遭遇重创,市场叙事从“AI赋能一切”急转为“AI吞噬软
慢性肾病和尿毒症的发病率在近些年总是“居高不下”,甚至不少中青年也被卷入其中。很多患者在确诊前并无明显不适,一发现往往已进入中晚期,不得不依赖透析甚至肾移植维持生命。 从临床角度看,尿毒症并非“突然出