快看高考好心态秘籍 高考压力 退退退! 这堂课让长兴高三学子直呼"太治愈" 近期,由共青团长兴县委主办,长兴县众公益志愿者协会、太湖街道晨光社区联合承办的益家青考前疏导——“青春扬帆迎高考·心灵护航
大家好,我是单眼皮妈妈~ 作为家长,你有没有被这些场景折磨到崩溃? 喊孩子写作业,他磨磨蹭蹭半小时才挪到书桌前,写不到十分钟就开始抠橡皮、玩铅笔; 带孩子逛超市,看到玩具就走不动道,不买就躺地上
近代以来,中国人民面临着争取民族独立、人民解放和实现国家富强、人民幸福这两大历史任务。这两大历史任务是相互联系、相互促进的。1. 争取民族独立、人民解放的历史任务:这个任务主要是通过反帝反封建斗争来实
金融界2025年5月20日消息,国家知识产权局信息显示,中兴通讯股份有限公司申请一项名为“摄像头AI功能测试方法、设备及存储介质”的专利,公开号CN120017821A,申请日期为2023年11月。
IT之家 5 月 20 日消息,谷歌 AI 编程智能体 Jules 迈入新开发阶段,在 2024 年 12 月私人预览后,最新开启全球公测,任意拥有 Google 账号的开发者现在都可以使用这款 AI
大模型加速奔跑,深度应用全面开启。5月20日,京东云城市大会在上海顺利举行,京东云发布JoyScale AI算力平台、JoyBuild大模型开发计算平台、JoyAgent智能体2.0等九大产品,三大垂
在生活的漫漫长路中,我们如同在荆棘丛中穿梭的行者,压力如影随形,稍不留意,心灵便可能留下难以磨灭的“撞痕”,而抑郁症,有时便是这心理创伤后的一种深刻印记。 现代社会,压力宛如一座座大山,沉甸甸地压在人
当父母沉迷于手机,往往会对家庭氛围和孩子的成长产生影响。作为培养健康家庭的重要组成部分,心学问公司关注这一问题,并提供以下建议和指导。 心理学家认为,沉迷手机通常是因为现实生活中的不满足或压力所引起的
入夏多吃苦,身体不受苦,明日小满,记得吃3种苦味菜,安心度夏! 随着气温逐渐攀升,2025年的小满节气如约而至。作为夏季的第二个节气,小满不仅标志着农作物开始饱满,也提醒人们要顺应时节调整饮食。民间
开源证券股份有限公司诸海滨近期对润农节水进行研究并发布了研究报告《北交所信息更新:节水灌溉业务市场开拓成效显著,2025Q1营收+21.05%》,给予润农节水买入评级。 润农节水(830964) 20
说真的,夏天的闷热不算什么,最烦人的,是湿气。 你是不是也有这样的感受:一到三伏天,整个人就像泡在水汽里,早上起床没精神,走几步就出汗,晚上怎么都睡不踏实?这时候,“祛湿”成了头等大事。 我奶奶常说:
新冠病毒抬头?钟南山发声! 近期,关于新冠病毒“抬头”的讨论再次浮现,一些地区似乎又感受到了病毒的“存在感”,甚至社交媒体上出现了一些关于“第二波”、“第三波”的零星传闻。在公众担忧情绪悄然升温之际,
生活中,很多人都有过心里发慌的经历,那种心脏快速跳动、莫名不安的感觉,着实让人难受。心里发慌看似是个小症状,却可能是身体发出的重要信号。那么,心里发慌究竟是什么预兆呢?接下来就为大家详细分点解读。 一
一套风靡日本的瘦腰大法——Tabata瘦腰训练,每周坚持3次,消除腰腹赘肉,减内脏脂肪,不伤膝盖,腰腹有赘肉的人学起来! Tabata是高强度间歇训练(HIIT)的变式,每次只需要4分钟*2轮=传统
鸦片战争(1840—1842年),是清朝时期发生于中国南方珠江口外的中国与英国之间的战争。这场战争以中国失败并赔款割地告终,中国与英国签订了中国历史上第一个不平等条约南京条约,也是西方列强强加给中国的
磷和铁及其化合物在生产生活以及科学研究中确实有着广泛的应用,下面是一些具体例子:1. **磷的用途**: - **农业**:磷肥是农业生产中非常重要的肥料之一,可以促进作物根系的发展和成熟。
记者:孙博士您好!第四军医大学的学术经历以及西京医院皮肤科 21 年的实践经历,对您在黄褐斑治疗领域的研究和临床实践带来了哪些影响? 孙林潮博士:西京医院作为皮肤科的国家队,给了我扎实的临床基本功和科
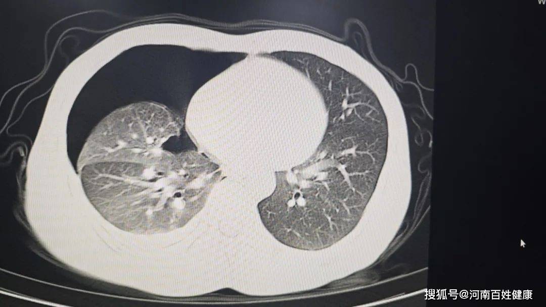
通讯员:谭浩 闫倩倩 帅哥病——生死考验 28 岁的小周,年轻有为,外形帅气,身高将近一米八,身形消瘦,体重只有 45kg。上周六凌晨2点,小周突然胸闷气短,喘不上气,家人紧急拨打 120,谁能想到,
立夏后,随着气温升高和人体代谢加快,肝脏负担加重,因此饮食调整显得尤为重要。根据中医理论,立夏后应减少韭菜和芹菜的摄入,因为这两种食材可能助长肝火或对脾胃不利,而应多吃一些具有疏肝泻火、养肝助眠功效的
今天,木子开门见山,来简单讲讲用穴位和锻炼的方式来调节和稳定高血压。先打个比方:血压高就像是火太旺了,把锅盖顶得砰砰响,这时候既不能生硬地去压锅盖,也不能猛地去抽柴火,传统养生的方法就是给砂锅开几个气